当前位置:肿瘤瞭望>资讯>正文

BC青年团︱王兴苗:一位乳腺癌患者引发的思考

作者:肿瘤瞭望   日期:2019/6/17 16:14:17  浏览量:17954

肿瘤瞭望版权所有,谢绝任何形式转载,侵犯版权者必予法律追究。

编者按:榴花似火的五月,点燃学术交流的激情。2019年5月26日,“BC青年团·华东乳腺癌中青年研讨会”在孔子故里曲阜顺利举行。来自江苏,山东,河南三地的乳腺癌专家组成的四支队伍在“病例大比拼”环节中争锋角逐,青年才俊展露锋芒,期待各位同道的鼓励和指导。现分享烟台毓璜顶医院王兴苗医生带来的病例演讲——《一位乳腺癌患者引发的思考》

 

王兴苗:一位乳腺癌患者引发的思考

病例汇报


病例摘要


一般情况:患者女, 53岁,患者因发现左乳肿物2月, 确诊左乳癌10天入院。

专科体检:左乳内上象限11点方向距离乳头1cm触及质硬肿物,大小约  4.0*4.0cm,表面不光滑,边界不清,活动度差;左腋窝似可触及稍肿大淋巴结,大小约1.5*1.0cm,质地韧,无融合固定。


入院前辅助检查: 


钼靶:左侧乳房内上象限可见致密肿块影,范围约4.5*5.3cm,周围见多形性钙化,临近乳晕区皮肤凹陷,BI-RADS分类 4C。右乳未见肿块影,腋窝未见肿大淋巴结影。



乳腺B超:左乳低回声,大小约4.5*3.5*2.2cm,边界欠清,形态不规整,内回声不均匀,内可见多发点状强回声(BI-RADS 4C类),左侧腋窝探及肿大淋巴结,皮髓质可辨。


乳腺MRI:左侧乳腺内上象限近中线区可见类圆形肿块,呈稍长T1稍长T2信号影,ADC值为0.8*10-3,切面直径约21.45*26.43*28.44cm,边界清楚,有毛刺征和分叶征,肿块早期呈快速强化,增强呈平台型强化曲线,腋窝可见小淋巴结影。


穿刺病理:左乳肿物:浸润性乳腺癌。免疫组化:ER(+70%中-强阳),PR(+20%弱-中阳),HER-2(2+),KI-67(阳性细胞数约30%)。

入院诊断:1.左乳癌。


诊治过程


入院后检查:

乳腺超声:左乳上象限探及低回声结节,大小约3.2*2.2*3.8cm,边界不清,形态不规则,可见点状强回声,右乳未见异常肿块回声。左侧腋窝探及一皮髓质可辨的淋巴结。



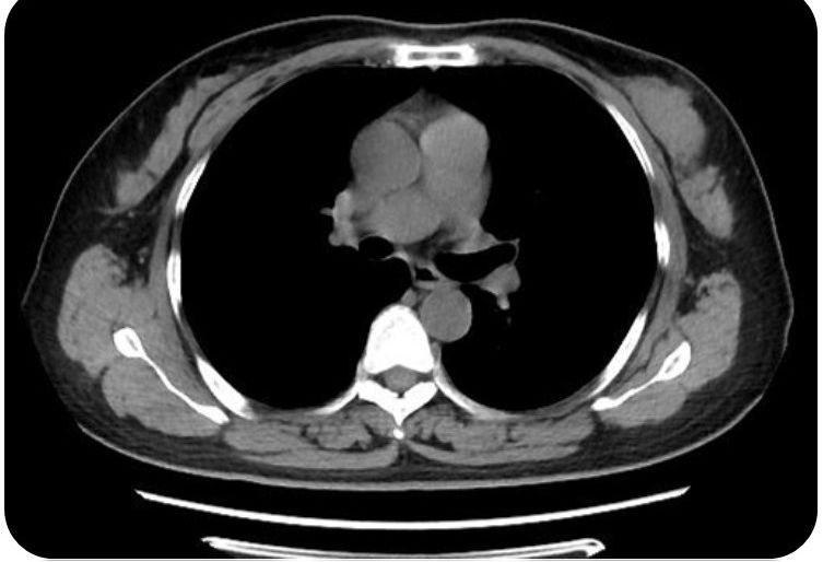
胸部CT:右肺上叶淡片状高密度影,考虑少许炎性病变,建议复查;双肺少许纤维灶;冠状动脉钙化。右肺上叶淡片状高密度影,考虑少许炎性病变,建议复查;双肺少许纤维灶;冠状动脉钙化。



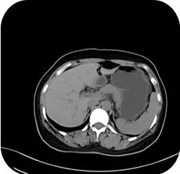
肝胆胰脾肾CT:肝囊肿;肝内钙化灶;胰腺形态饱满。



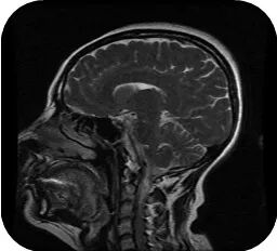
颅脑MRI:双侧额叶脑白质内脱髓鞘改变;双侧上颌窦炎;右侧乳突炎。

颈部超声:未探及肿大淋巴结。



其他检查:心电图,心脏超声,肺功能检查未见异常。

诊疗计划:建议可考虑:1.新辅助化疗-手术;2.手术-术后辅助治疗。与患者及其家属沟通后,行左侧全乳房切除术+左侧腋窝前哨淋巴结活检+左侧内乳前哨淋巴结活检术。


术后病理:


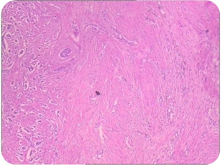
病理:左乳浸润性导管癌Ⅱ级(肿瘤大小2.5*2.3cm)。

免疫组化:ER(+40%强阳),PR(+30%中阳),HER-2(2+),FISH(-),KI-67(阳性细胞数约40%)。未见脉管内癌栓。腋窝前哨淋巴结活检:前哨1a,1b,前哨2,前哨3均未见癌转移。



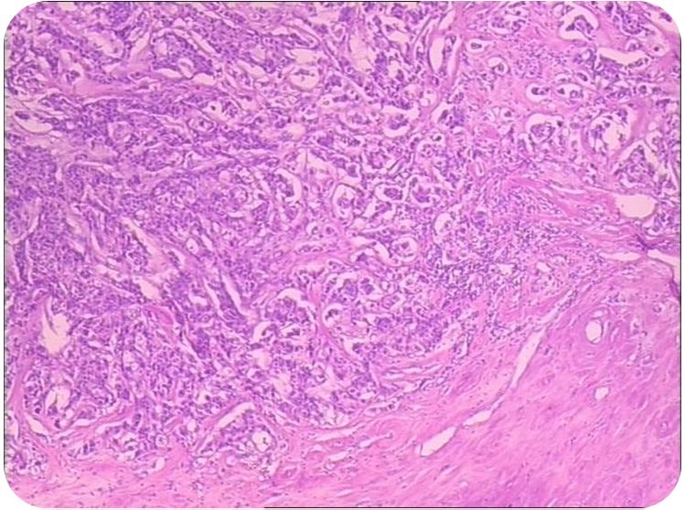
进一步行fISH检查示:HER-2无扩增。(如右图)



诊断和分期:左乳癌(pT2N2bM0,IIIa期),术后辅助治疗,辅助化疗(方案为EC(EPI 90-100mg/㎡,CTX 600mg/㎡)序贯T(多西他赛100mg/㎡)),化疗结束放疗:靶区:左侧内乳、胸壁、锁骨上区。Steep评分2.84分。放疗同时行OFS+AI内分泌治疗。


病例小结:


本例是一位确诊时年龄53岁、绝经前、已婚已育的乳腺癌患者,术后诊断:左乳癌(pT2N2bM0,IIIa期)。术后左乳浸润性癌免疫组化提示: ER 强阳40% ,PR 中阳30%,c-erbB-2(BC) 2+,FISH(-),Ki-67 40%+,CD34,D2-40未见脉管内癌栓。对这样一个中期LuminalB型乳腺癌患者,术后辅助治疗实际涉及三个方面:术后辅助化疗、放疗、术后内分泌治疗。


患者分期是(pT2N2bM0,IIIa期),术后首先涉及到化疗,根据NCCN指南,针对激素受体阳性,HER-2阴性,淋巴结转移的患者,可行方案有:剂量密集AC,TC,AC-T/P,TAC等。基于BCIRG 005(10年随访证实AC-T与TAC在DFS和OS疗效获益相当)、NSABP B-38(TAC与DD AC-P方案在DFS和OS方面疗效相当)、ECOG1199(10年随访结果AC-T三周与AC-P单周方案在DFS和OS获益相当),患者分期IIIa期,AC、TC显然强度不够,TAC方案出现III、IV度骨髓抑制出现的比例较其他方案明显增加,且未能体现出对AC-T/P的优势,另外结合CSCO指南,我们选择了EC(EPI90-100mg/㎡,CTX600mg/㎡)序贯T(多西他赛100mg/㎡)的化疗方案。



患者为激素受体阳性,化疗后势必要选择辅助内分泌治疗。指南推荐对于高风险女性应该接受OFS联合他莫昔芬或AI治疗,而对于低复发风险女性,应该免去OFS。近期发布的SOFT & TEXT研究中位随访8年和9年的结果再次证实,对于绝经前女性,他莫昔芬联合OFS或AI联合OFS对比他莫昔芬单药,可以进一步降低复发风险。患者病理分期IIIa期,Steep评分2.84分,故行OFS+AI治疗。但OFS应用时机尚存在一定争议。



放疗是根据NCCN指南,包括中国乳腺癌的诊治指南,乳腺癌全乳切除术后放射治疗,适应症:1.T≥5 cm,或肿瘤侵及乳腺皮肤、胸壁。2.N≥4 枚。3.淋巴结转移1~3枚的 T1/T2:年龄≤ 40 岁;腋窝淋巴结清扫数目小于 10 枚时转移比例大于 20%;激素受体阴性; HER-2/neu 过表达等。照射靶区:胸壁和锁骨上是术后放疗的主要靶区。内乳靶区适应症:a.治疗前影像学诊断内乳淋巴结转移或者经术中活检证实为内乳淋巴结转移。b.原发肿瘤位于内侧象限同时腋窝淋巴结有转移,或其他内乳淋巴结转移概率较高的患者,在三维治疗计划系统上评估心脏剂量的安全性后可谨慎考虑内乳野照射。c.HER-2过表达的患者为避免抗HER-2治疗和内乳照射心脏毒性的叠加,决定内乳野照射时宜慎重。照射剂量:所有术后放疗靶区原则上给予共50 Gy/5 w/25f的剂量; 影像学上高度怀疑有残留或复发病灶的区域可局部加量至60~66 Gy。故最终制定放疗计划为:靶区及剂量:左侧内乳、胸壁、锁骨上区;50 Gy/5 w/25f。


Q & A


1.薛丹青:王教授的病例非常好,条理清晰有理有据。我问几个问题,第一个问题是内分泌治疗分析,选用的是OFS+AI是吗?其实我觉得这个患者本身是52岁的,可能对于中国人来说,可能属于围期的状态,虽然她月经可能是规律的,刚才我把你的分数,临床的病理资料算了一下,大概是2.46分,应该是中度的危险度,按照指南上是可以用OFS的,但是对于这个患者来说,她比较特殊,因为她很可能一到两年之后月经就会没有了,但是一旦用上OFS,月经状态是不能够评估的。按照现在的指南,OFS是要用两到三年,最好是五年,对于患者的经济负担也是比较重的,激素过度,除了OFS还可以手术治疗。有没有考虑跟患者沟通这一点?


王兴苗:感谢薛教授的提问。与患者沟通过,这个病人我们给她一个选择的权利,包括卵巢的切除,包括卵巢的放疗,还有药物(诺雷得)的注射,卵巢切除不可逆,卵巢放疗效果不确切,诺雷得也进入医保,费用也可以接受,最终患者也是愿意接受OFS的治疗,不愿意做卵巢的切除。另外就是时长的问题,确实50岁以上,60岁之前的绝经状态的判断,确实比较麻烦,特别是诺雷得的注射,包括内分泌治疗的应用,都对月经状况的判断是有影响的。我想两到三年以后,可以停掉诺雷得之后测定一个激素水平看一下。


薛丹青:你觉得OFS要用多久?两到三年还是几年?


王兴苗:我觉得应该用五年,三期患者应该作为高危的对待。


薛丹青:针对内乳淋巴结活检,乳内淋巴结在哪个象限?


王兴苗:靠近乳房的后间隙,在切除大标本的时候,大概在胸大肌的外侧缘,前锯肌附近。


薛丹青:其实内乳前哨淋巴结之所以活检,包括前哨,之所以没有那么广被推广出来,就是显象率是比较低的,我不知道你用的是哪种显象?


王兴苗:目前选的双示踪,一是统的蓝染料,注射到乳晕区皮下或者肿瘤周围;二是核素示踪,注射在患侧乳房的12点和6点方位,距乳头两公分处的超声引导下腺体内的高压注射,显象率60%-70%。


2.李江涛:我想问一个问题,这个病人在术前在外院做过穿刺了,有没有考虑过做新辅助呢?


王兴苗:这个问题我们考虑过,穿刺的病理是激素受体阳性,HER-2(2+), 术后病理亦证实HER-2基因无扩增,根据新辅助化疗的指征,患者既不是三阴性,也不是HER-2阳性,且肿块不到5cm,也不是腋窝淋巴结阳性,且没有降期保乳的要求。所以最终不考虑新辅助化疗,还是优先推荐术后的辅助治疗。


3.高德宗:谈一下我个人感受,这个病人前哨淋巴结没事,结果出了内乳淋巴结的转移,患者肿块位于乳房的内上方,结果乳内的淋巴结位于外上方,应该算是一个标准的前哨淋巴结,我估计是不是以为前哨淋巴结,我个人的一些观点,因为我手术中也碰到过,取了腋窝前哨没事,术后到乳房切下来又转移,可能前哨淋巴结的寻找有时候还是有一定的难度。再就是这个病人做了内乳的淋巴结活检也是一个转移,请问锁骨上放疗有必要吗?前哨、腋窝就有一个,内乳也一个,取了四个,内乳一共也没几个淋巴结,估计也取出来了,锁骨上的放疗还有必要吗?再就是我同意刚才同行讲的,内分泌治疗,用上卵巢抑制是很尴尬的事情,什么时候停呢。这个病人我用的时候,就是治疗过程中什么时候绝经了,就换来曲唑。


王兴苗:根据放疗NCCN指南及中国乳腺癌诊治指南,首先第一个就是基本的放疗靶区应包括胸壁还有锁骨上,这是最基本的,像Z0011和Amoros实验还需要加一个高位的切线野照射,还有影像学内乳淋巴结可疑的或者内乳前哨淋巴结活检阳性的,肯定是要加做内乳淋巴结的照射。内分泌的OFS治疗的问题,确实挺尴尬,患者目前处于绝境前状态,有可能在治疗过程当中就绝经了,今天讨论的目的之一,也请各位老师定夺一下,到底OFS应不应该用,何时开始用,用多长时间。


4.江立玉:内乳淋巴结活检的意义在哪里?病人能从这个手术获益吗?她放疗的指征是取决于内乳淋巴结活检的结果吗?


林骏:内乳前哨淋巴结活检的意义在于,腋窝前哨淋巴结阴性的患者有10%左右内乳前哨淋巴结阳性,若腋窝前哨淋巴结阳性的患者则内乳前哨淋巴结阳性的比例高达20%-40%,所以内乳前哨淋巴结活检可能能避免低分期,本讨论患者就是这样,分期直接上升至III期,病人从本手术获益明显,清除了转移的内乳淋巴结,且避免了治疗不足的情况。放疗靶区的设定肯定是需要参考了内乳前哨淋巴结活检的结果的。

江立玉:我再追问一个问题,腋窝前的淋巴结活检,有术前的详细的评估和指征,而且也有初衷,选择可以避免腋窝清扫的患者,避免过度手术,内乳淋巴结活检和内乳的淋巴结清扫,用你们这个来看区别大吗?内乳淋巴结可能本身也没有几个,做了前哨淋巴结活检,是为了取代内乳的淋巴结清扫吗?

林骏:既往观点认为,中央区或者内象限的肿瘤可能需要加做内乳的放疗,内乳前哨淋巴结活检的意义在于,我们可以把中央区或者内侧肿瘤的患者,内乳前哨没有转移的,将来可以豁免放疗。


5.王伟:我还是对OFS这个事,并不是反对你们的治疗意见,你想什么时候开始做这一块,在哪个时间节点上,因为这个病人是四五月份,应该是刚做完手术的,四五月份,应该还没开始做后续的治疗,或者是可能做过一次的EC,因为我们都知道,有很多的患者,可能经过6-8周期的化疗之后,可能年龄也不是太大,可能45、46岁,甚至42、43岁的都有,做完整体的放化疗之后,这个病人不管是检测激素水平也好,还是不检测也好,往往有很多病人可能一直到第四五年之内复查,一次都没来过。这个病人53岁,她的末次月经是2019年的4月2号,一是加用OFS的时间节点,是在化疗前,还是放化疗以后,如果你在化疗前的话,你的理由是什么?在化疗后的话,你的理由是什么?因为做完放化疗的话,这个病人就应该是54岁了,54岁往往在东方女性来讲,按国际的水平,是60岁前后是绝经期前后,但是我们中国的女性一般来讲,在50岁左右,很大一部分月经可能就已经处于绝经期的情况了。根据这个病人自己的情况,你们是如何考量OFS的,时间节点。


王兴苗:我们医院对于初次入院的患者,必须做激素水平检测,包括化疗前也会重新做一次检测,特别是还有月经的,且属于绝经前激素水平范围的,我们肯定考虑绝经前的患者,虽然她已经53岁了,显然还是属于一个绝经前的患者,化疗开始之后,可能对激素水平有一些影响,我想第一个问题就是OFS是在什么时候加上,对于没有生育要求或者能力的患者,化疗前加主要是用来保护卵巢功能的,所以我们考虑化疗结束治疗加上OFS。


网络评分说明


病例比赛评分:

总分=评委评分(占比60%)+网络评分(40%)

网络评分按排名分别给予100、90、80、70、60、50分计算

 

本内容仅供医学专业人士参考


乳腺癌

分享到: 更多